Dem Pferd den Zahn gezogen
Moderne Zahnextraktion am stehenden Pferd
Zahnfehlstellungen bei Pferden sind zwar Launen der Natur – aber dennoch an der Tagesordnung. Durch die Domestikation unserer Haustiere hat sich zudem Futteraufnahme und -zusammenstellung verändert. Dadurch wurden Zahnerkrankungen bei ihnen etwa so häufig wie beim Menschen.
Vernachlässigte Hufpflege ist beim Pferd sofort sichtbar und zeigt sich auch bald in der „Gebrauchsfähigkeit“ in der Sportreiterei. Ein Pferd mit Zahnproblemen sagt dies dagegen meist nicht deutlich genug. Pferde leiden still. Das Fressverhalten interessiert den Großteil der Reiter wenig und Probleme der Rittigkeit werden oft zu lange auf andere Weisen zu lösen versucht.
Mit neuen Erkenntnissen hat in der Pferdezahnheilkunde ein großer Aufwind begonnen, wenn auch bereits im 12. Jahrhundert in arabischen Schriften die korrekte Zahnbehandlung am Pferd beschrieben wurde. Im 19. Jahrhundert wurde in der Literatur das Ausstempeln von kranken Zähnen durch Trepanation näher beschrieben. An dieser Methode, bei der der Kieferknochen von außen eröffnet wird, um den Zahn von der Wurzelseite „herauszustempeln“, wird heute überwiegend noch festgehalten. Doch modernere Methoden setzen sich mehr und mehr durch.
Pulpitis
Der Pferdezahn besteht aus vier verschiedenen Strukturen: Pulpa, Dentin, Schmelz und Zement. Die Pulpa, das so genannte Zahnmark, füllt das Pulpencavum, den Hohlraum in Zahnkrone und Wurzel n des Zahnes , aus. Es besteht aus Bindegewebe , Blutgefäßen , Nerven und Lymphgefäßen ; Nerven-Gefäßbündel ziehen von der Pulpa aus zum Dentin .
Die Schneide- und Eckzähne beinhalten eine einzige Pulpahöhle, die Unterkieferbackenzähne fünf bis sechs in zwei Zahnwurzeln, Oberkieferbackenzähne beinhalten auch fünf bis sieben Pulpahöhlen in drei Wurzeln.
Dr. Timo Zwick erklärt: „Die Pulpahöhle verändert sich im Laufe der Entwicklung des Pferdes. Mit der Alterung des Pferdes und der Abnützung der Zähne werden die Pulpahöhlen mit Ersatzdentin gefüllt. Funktioniert dieser Füllmechanismus aus irgendwelchen Gründen nicht, entstehen durch den ständigen Zahnabrieb offene Pulpen.“
In eine offene Pulpa können von der Maulhöhle Futterreste und Keime ins Zahninnere bis in die Wurzelspitze eintreten. Eine Entzündung der Pulpa wird als Pulpitis bezeichnet.
Die Besitzerin eines 15jährigen Bayern-Wallachs erzählt von Problemen wie Fressunlust, sehr langsame Futteraufnahme, Gewichtsabnahme, Futterschleudern, Speichelsammeln und Rittigkeitsproblemen.
Das Pferd tritt nicht an eine gleichmäßige Anlehnung.
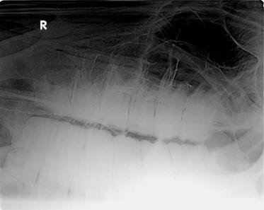
Klinisch sind zwei offene Pulpen an dem zweiten oberen Backenzahn zu sehen. Das Röntgenbild zeigt eine deutliche Aufhellung um eine Wurzelspitze des betroffenen Zahnes. Die Pulpitis hat sich bereits im Kieferbereich manifestiert. Die vorausgegangene Röntgenuntersuchung vor 7 Monaten hat diesen Befund im Kiefer noch nicht gezeigt.
Obwohl das erklärte Ziel der Zahnbehandlung die Zahnerhaltung ist,
ist die Therapie der Pulpitis in der Regel die Zahnextraktion.
Wurzelresektionen mit Füllungen sind nur im Frühstadium angebracht und selten erfolgreich.
verschiedene Behandlungsmöglichkeiten:
Als die Anästhesie des Pferdes noch sehr riskant war, wurden Backenzähne durch die Maulhöhle gezogen. Die Extraktion war jedoch immer sehr schwierig und manchmal unmöglich. Es ist wenig Platz in der Maulhöhle und die Zahnwurzeln sind lang und stabil. Seit durch medizinischen Fortschritt verbesserten Narkosearten wird der Großteil der Backenzähne durch Trepanation (operative Öffnung des Schädelknochens) entfernt.
Der Zugang erfolgt hierbei über eine operative Öffnung des Kieferknochens von außen. Durch das entstandene Fenster wird ein Meißel eingeführt und in Längsrichtung auf den Zahn aufgesetzt. Hammerschläge auf das Meißelende bewirken ein nach unten Herausschieben oder eine Zerteilung des Zahnes in Fragmente, die nach und nach entfernt werden. Anschließend wird die Zahnhöhle gespült und durch ein Implantat durch Eindringen von Fremdkörpern oder Krankheitserregern geschützt. Die Unterhaut wird genäht und die Oberhaut genäht oder geklammert.
„Die Kunststoffbrücke wird je nach Heilungsverlauf nach 10 Tagen gewechselt. Mit 2 bis 3maliger Narkose muss der Pferdebesitzer rechnen.“ Beschreibt Dr. Stefan Gesell von der Universitätsklinik München diese Methode, die dort klassisch nur unter Vollnarkose durchgeführt wird.
Fachtierarzt für Pferde Dr. Henning Schlumbohm aus Waldenbuch erklärt ebenfalls, er lege das Pferd zur Zahnextraktion in Vollnarkose. Danach versuche er das Ziehen über die Maulhöhle. Misslinge dies, wähle er die Trepanation.
Tierarzt Dr. med. vet. Tilman Simon aus Warngau meint auf Anfrage zum vorliegenden Problem: „Mit etwas Glück kann man den 107er durch die Maulhöhle ziehen.“ Eine Sedierung hält er für angebracht und auch völlig ausreichend.
Dr. Bieberstein von der Pferdeklinik Thierlstein bei Cham hat ebenfalls gute Erfahrungen bei der Zahnextraktion über die Maulhöhle unter Sedierung gemacht.
Die möglichen Komplikationen nach Zahnextraktionen über die Maulhöhle sind weitaus geringer als nach chirurgischen Eingriffen (Trepanation). Jedoch sind Zähne mit Pulpitis oder Karies brüchig und schwierig im Ganzen zu ziehen. Verbleibt ein Wurzelrest im Kieferknochen, bleibt oft in der Trepanation die letzte Möglichkeit, diesen restlos zu entfernen.
Bei der Zahnextraktion am stehenden Pferd über die Schulter gesehen haben wir Dr. Timo Zwick aus Gessertshausen . Er hat sich spezialisiert darauf. Nach seiner Prüfung zum Pferdedentalpraktiker nach IGFP hat er Weiterbildungen bei Dale Jeffrey und bei Tony Basile belegt, wo er auch Zahnextraktionen am stehenden Pferd erlernte. Seit 1995 praktiziert er in der Tierärztlichen Klinik Gessertshausen in Bayern.
Nach Aufklärung über eventuelle Risiken bereitete Zwick das Pferd mit sorgfältiger Rasur und Desinfektion für die Leitungsanästhesie vor. Mit dieser örtlichen Anästhesie wird es möglich, die Extraktion in Stehen ohne Vollnarkose vorzunehmen. Die Methode stammt aus Amerika und wird in Deutschland von Zwick auf einem Kongress und in der Fachpresse im März 2007 veröffentlicht. Über sechzig Anästhesien gelangen bislang auf diese Weise ohne Probleme.
Für die Sedierung wird mit einer 9 cm langen Nadel unter dem Augenbogen bis zum Schädelknochen eingestochen und ein Stück zurückgezogen bevor das Narkosemittel platziert wird. So wird der Oberkiefernerv Nervus maxillaris anästhesiert, der nahe an einer Arterie und einer Vene verläuft. Mit Zwicks dünner Nadel ist die Gefahr einer Hämatombildung gering, welches auf den Sehnerv drücken könnte. Mit dieser Anästhesie sind im Oberkiefer rechtsseitig alle Zähne betäubt.
Mit dem Nervus infraorbitalis (Unteraugennerv) wäre der Kiefer von den Schneidezähnen über den Hengstzahn bis zum 1. Backenzahn, mit dem Nervus maxillaris (Oberkiefernerv) alle Zähne des Oberkiefers auf dieser Seite behandelbar. Im Unterkiefer ist der Nervus mentalis (Kinnnerv) für die Inzisivi (Schneidezähne) und den Hengstzahn und Nervus mandibularis (Unterkiefernerv) für alle Zähne im Unterkiefer dieser Seite zuständig.

Verschiedene Spreizer liegen bereit für unterschiedlich breite Interdentalspalten oder für die fortgeschrittene Lockerung des Zahnes. Der zweite Backenzahn, der hier gezogen werden soll, hat nach vorne nur einen Nachbarzahn, nach hinten noch vier. Um den einzelnen Zahn vorne mit der kürzeren Wurzel nicht zu schwächen, spreizt Zwick hauptsächlich hinten.

Das Spreizen und das Lockern des Zahnes erweist sich als echte Knochenarbeit. Der Zahn sitzt fest im Kiefer. Als schließlich die Zange zum Ziehen Einsatz findet, ist gegen Ende ein leises Knacken zu hören. Der morsche Zahn bricht.
Zum Glück ist der Zahn vorher soweit gelockert worden, dass auch die noch verbliebenen Zahnreste sich durch die Maulhöhle ziehen lassen. Der extrahierte und zerbrochene Zahn strömt sofort einen modrig-fauligen Geruch aus.
Die Fraktur längs der offenen Pulpen lässt Zersetzung von innen erkennen, in den Pulpen haben sich zudem vergärende Futterreste festgesetzt.
Wie morsch und krank der Zahn war, wird jetzt erst in ganzer Tragweite klar.
Sorgfältig wird die Wundhöhle optisch per Spiegel und fühlend mit der Hand inspiziert, ob alle Zahnsplitter restlos entfernt wurden. Ein Röntgenbild bestätigt dies zudem im Anschluss.


Die Wundhöhle soll von innen nach außen abheilen. Daher wird ein Füllmaterial gesetzt, das vorsorglich mit Antibiotika bestückt wird. Es ist ein knetbares Zweikomponenten-Abformmaterial auf Silikonbasis. Dieses wird am 3., 10. und 30. Tag nach der Extraktion gewechselt. Beim Wechsel wird jeweils vorsichtig mit Wasser gespült, die Wundhöhle inspiziert und der Geruch überprüft. Die neue Füllung wird der allmählich von innen nach außen zuwachsenden Wundhöhle entsprechend kleiner geformt.
Fressen darf das Pferd nach der Extraktion, sobald die Sedierung nach wenigen Stunden nachlässt. Der vorher eher mäkelige Wallach stürzt sich zuhause sofort auf Hafer und Heu.
Sein Befinden und Fressverhalten bleibt während des Heilungsverlaufs stabil. Tierärztin Dr. Nicola Hessling war bei der Zahnextraktion persönlich anwesend und übernimmt die Nachsorge zuhause. Die Wechsel der Silikon-Einlagen verlaufen unproblematisch. Dr. Heßling meint zufrieden: "Das schaut ganz einwandfrei aus" als sie die gut heilende Wundhöhle inspiziert.
„Neben den gesundheitlichen Risiken der Vollnarkose und die schonendere Methode spricht auch der finanzielle Aspekt für diese neuere Art der Zahnextraktion beim Pferd.“ betont die Tierbesitzerin abschließend, die von dieser Behandlungsweise nun restlos überzeugt ist.
... und was würde uns das Pferd dazu sagen, das nach der Abheilung keine unverdauten Haferkörner mehr im Kot zeigt und wieder in der Lage ist, das Gebiss locker anzunehmen?
