„Er hat überhaupt nicht gebohrt“ – ein Pferd beim Zahnarzt
Gestörtes Fressverhalten wie Futterschleudern bei offenem Maul zeigte der 15jährige Wallach „Phoenix“ schon jahrelang. Überempfindlichkeit beim Trensen und Rittigkeitsprobleme im Genick- und Maulbereich kamen hinzu. Seine jahrelange Odyssee führte letztlich zum Pferdedentalpraktiker D r. Timo Zwick. Zwick hat sich vor allem auf Zahn- und Augenerkrankungen des Pferdes spezialisiert in der tierärztlichen Partnerschaftsklinik in Gessertshausen bei Augsburg (www.tieraerztliche-klinik.net). Er hat die Prüfung zum Pferdedentalpraktiker nach IGFP ( Internationale Gesellschaft zur Funktionsverbesserung der Pferdezähne e.V.) und gilt als Fachmann im Bereich der Zahnextraktionen am stehenden Pferd.
Nach Anamnesebefragung und Untersuchung des Kopfes inspizierte Zwick die Maulhöhle des Patienten. Hilfreich bewies sich hier neben dem Handspiegel auch die Dentalkamera, die beleuchtete, farbige und scharfe Abbildungen auch des hintersten Backenzahnes am Monitor illustrierte.
Bei dem vorgestellten Wallach zeigte sich hierbei deutlicher Kariesbefund beidseitig am jeweils ersten und vierten Backenzahn des Oberkiefers. Ursache dafür waren die jeweils zu langen gegenüberliegenden Backenzähne.
Karies durch Zahnfehlstellung
Die Zähne des Pferdes werden naturgemäß ständig abgerieben. Besteht eine Fehlstellung der Zähne, kann eine natürliche Mahltätigkeit nicht stattfinden. Wenn zudem durch Rampenbildung (Vergrößerung) der gegenüberliegende Zahn zuviel Druck abbekommt, kann sich das Infundibulum (Zahnschmelz) nicht entsprechend ausbilden. Es sammeln sich dort Futterreste an. Das Infundibulum vergrößert sich mit dem Einnistung von Bakterien. Dadurch zersetzt sich Zahnhartsubstanz und Karies entsteht. Die hier bereits lange bestehende Karies kann einen dumpfen Dauerschmerz verursachen und zeigte sich auch durch Geruch aus dem Maul.
Zahnerhaltung
Durch Beseitigung der Fehlstellung wird nun versucht, die kariösen Zähne zu erhalten.
Zunächst wurden die Zähne so beraspelt, dass die unteren Rampen und Wellen entfernt waren. Dadurch wird die Kaufläche gleichmäßiger belastet. Da der Zahn jährlich etwa 3 Millimeter nachschiebt, kann sich der Kariesbefund im Laufe der Zeit verbessern. Durch die Kürzung der unteren Rampen kann zudem der obere Zahn korrekt nachwachsen, ohne Druckbelastung zu haben. Wenn die Karies nicht weiter fortschreitet, könnte das den jeweiligen Zahn erhalten.
Die Zahnkanten und zu lange Zähne wurden gekürzt bei Belassung der natürlichen Welle. Die Kauflächen werden eher abgeflacht, wobei bei Phoenix am 1. und 4. Backenzahn an den Rampen deutlich abgetragen wurde. Ober- und Unterkiefer wurden einander angepasst.
Die deutlich ausgeprägten Hengstzähne wurden wegen der Verletzungsgefahr durch Hängenbleiben gekürzt.
Die abgeflachten Zahnkanten wurden abgerundet. Die Maschinen arbeiten dabei erst punktuell, mit Handraspeln wurden die Flächen danach noch begradigt.
Die Schneidezähne wurden passend gemacht.
Es gibt drei Berührungspunkte zwischen Ober- und Unterkiefer: das Kiefergelenk, die Backenzähne und die
Schneidezähne. Sind die Schneidezähne zu lang, gibt
es im Bereich der Backenzähne einen Spalt, wobei die
Kiefergelenke überlastet werden.
Hier ergibt sich nach Rampenentfernung und Abflachung der Backenzähne ein etwa 1,5 Millimeter breiter Spalt im Backenzahnbereich.
Beim Mahlen der Pferdezähne verschiebt sich der Kiefer auch seitlich. Diese Verschiebung sollte idealerweise etwa eine halben Schneidezahnbreite ausmachen.

Bei Phoenix ließ sich diese Verschiebung gut doppelt so weit durchführen. Die Schneidezähne wurden demnach 1,5 Millimeter abgefräst, um den beim Kauen entstehenden Druck wieder gleichmäßig zu verteilen.
Zahnsteinentfernung

Manche Pferde neigen zu Zahnsteinbildung. Die Neigung zum Zahnstein ist genetisch durch die Speichelzusammensetzung bedingt. Spezielle „Zahnpflege-Leckerlie“ sollen laut Hersteller den Speichel neutralisieren helfen. Der gelbliche Belag wird hier abgeschabt.
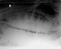
Röntgenologische Veränderungen
Nach der Behandlung wurden Röntgenaufnahmen von den kariösen Oberkieferbackenzähnen gemacht, um den
Wurzelbereich abzuklären. Die Kaufläche zeigte sich nach Zahnbehandlung „gleichmäßig wie beim Wildpferd“ verglich Zwick. Die hintere Hälfte des dritten sowie der vierte, bis sechste Backenzahn stehen mit den Wurzeln in der Kieferhöhle. Die ersten beiden stecken nur im Kieferknochen. Die Zähne sind unterschiedlich lang. Die ersten drei haben Milchzahnvorläufer. Der vierte ist der älteste Zahn im Gebiss, da er der erste bleibende Zahn ist. Karies ist hier als leichter Schatten am Röntgenbild noch zu erkennen. Rechtsseitig zeigt der erste Backenzahn eine kleine Abnormität: Seine Wurzel zeigt ein Ausziehung nach vorne und im Wurzelbereich eine kleine dunkle Verschattung.
Jeder einzelne Zahn und die Begrenzungen wurden begutachtet, rechts begonnen. Parodont, Zahnhalteapparat zwischen Alveole (Zahnfach) und Zahn. Die Wurzel des vierten Backenzahnes lenkt noch die Aufmerksamkeit von Dr. Zwick auf sich.
Was kann noch getan werden?
Karies entstand durch ein Überbelastung einzelner Zähne. Diese Überbelastung wurde durch Beraspeln genommen. Wie tief die Karies geht, lässt sich letztlich nicht feststellen, da sie tiefer reicht, als das Untersuchungsinstrument.
Weitergehende Karies lässt sich auch ausbohren. Wie in der Humanmedizin werden nach Entfernen der kariösen Stellen verfüllt. Dazu wird der Schmelz angeätzt und mit lasersterilisiertem Komposit verfüllt (Komposit: ein mit Füllstoffen verstärkter Kunststoff). Kompositfüllungen nutzen sich ähnlich ab wie der natürliche Pferdezahn. Dadurch können die kariösen Stellen langsam auswachsen, ohne dass Niveauprobleme der Kauflächen entstehen.
Ein entzündlicher Prozess oder Knochenumbauprozess im Kopfbereich würde durch eine Szintigraphie aufgedeckt. Die Szintigraphie ist ein nuklearmedizinisches Suchverfahren um Entzündungen aufzudecken. Aussagekräftige Röntgenbefunde sind im Kieferbereich sehr schwierig und das Herauslesen äußerst kompliziert. Deswegen ist für Dr. Zwick bei der Diagnostik einer Kiefer- oder Zungenbeinproblematik oder schwierig darstellbaren Zahnproblemen die Szintigraphie das Mittel der Wahl. Würde die Szintigraphie die Anreicherung eines Kiefergelenkes zeigen, könnte man den Befund durch Ultraschall und Röntgen untermauern. Das Kiefergelenk als Sattelgelenk verfügt über einen Meniskus. Der Meniskus könnte problematisch sein, die Gelenkflächen könnten rau sein. Eine eventuelle Behandlungsmöglichkeit des Kiefergelenks stellt die Einbringung von Hyalonsäure.
Wie geht’s bei diesem Pferd weiter?
Nach der Zahnbehandlung darf Phoenix ganz normal fressen nach zwei Stunden, sobald die Sedierung abgeklungen ist. Er soll zwei Tage lang kein Gebiss tragen. Danach soll zunächst das für ihn bequemste Gebiss gewählt werden. Zwick meint: „Meist sind die Einfachsten die Besten: nicht zu dick und einfach gebrochen.“ Phoenix wird wohl das Ledergebiss bevorzugen. Das enge Zuschnüren des Reithalfters sollte dauerhaft unterbleiben. Es drückt immer die Backen seitlich an die Zähne, auch wenn die kariösen Stellen derzeit ohne Kontakt zueinander stehen.
„Pferde mit Rittigkeitsproblemen brauchen oft bis zu zwei Wochen nach der Zahnbehandlung bis sie festgestellt haben, dass die Schmerzsymptomatik nicht mehr existiert. Solange sollte man mit „bequemem“ Gebiss oder gebisslos mit ihnen arbeiten. Hat ein Pferd jahrelang mit Zahn- oder Kieferfehlstellung gelebt, kann es durchaus längere Zeit dauern, bis es sich an die Veränderungen gewöhnt hat.“ Erklärt Zwick.
Nach einem Jahr wird der nächste Termin beim Pferdedentalpraktiker erfolgen.
Hat das Pferd Schmerzen?
Die Behandlung ist für das Pferd nicht schmerzhaft. Sie ist unangenehm durch die mechanische Vibration. Das Raspeln an den ersten Backenzähnen und Randzähnen scheint noch unangenehmer als weiter hinten, da diese nach vorne nicht fixiert sind und die Vibration mehr auf den Kiefer übertragen lassen.
Schmerzhaft würde die Behandlung nur, käme man auf den Nerv. Dieser liegt jedoch unterhalb des Behandlungsbereiches. Auch kranke Zähne sind oft empfindlicher, wenn sie beispielsweise etwas lockerer sind.
Warum braucht das Wildpferd keinen Zahnarzt?

Das Gebiss des Wildpferdes ist sehr gerade. Der Bogen ist kaum ausgeprägt. Sie fressen rund 16 Stunden täglich silikathaltige Gräser. Sie reißen das Futter kräftig mit den Schneidezähnen ab, wodurch diese deutlich abgenutzt werden. Bei qualitativ schlechterem Futter wird mehr Menge gefressen. Außer in Fluchtsituationen muss keine Leistung gebracht werden, somit reicht der niedrigere Energiegehalt der Nahrung aus. Die harten und silikathaltigen Gräser bewirken stärkere Abrasion (Abrieb) der Zähne. Durch die Härte des Futters müssen auch weitere Kauausschläge gemacht werden, so nutzt das Gebiss vollständiger ab. Auch die Fressdauer ist bis zu fünfmal länger als bei domestizierten Pferden.
Bei Wildpferden kommen daher Zahnprobleme weniger häufig vor. Zahnfehlstellungen oder Kieferfehlstellungen eliminieren sich durch selektive Evolution.
